インプラント症例実績
左上1番 抜歯即時インプラント(ルートメンブレンテクニック併用)

BEFORE

AFTER

ルートメンブレンテクニックの併用により、唇側歯肉の豊隆が保持されます。
| 金額 | ¥590,000(税抜) |
| 期間 | 約6ヶ月 |
| リスク | オペから6週までは過大な力がかかると骨の2次安定が得られないことがあるため、注意を要する。 |
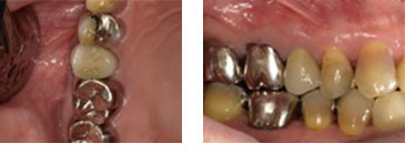
右上5番歯根破折 抜歯即時インプラント埋入

BEFORE

AFTER
| 金額 | ¥460,000(税抜) |
| 期間 | 約3ヶ月 |
| リスク | オペから6週までは過大な力がかかると骨の2次安定が得られないことがあるため、注意を要する。 |
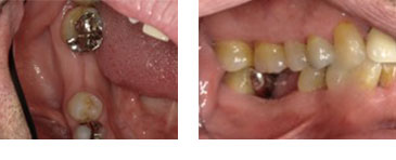
右下6番 フラップレス埋入(成熟側埋入)

BEFORE

AFTER
| 金額 | ¥420,000(税抜) |
| 期間 | 約2ヶ月半 |
| リスク | オペから6週までは過大な力がかかると骨の2次安定が得られないことがあるため、注意を要する。 |
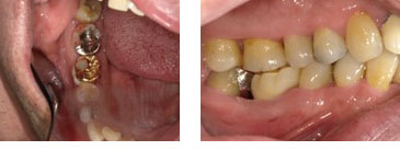
左上6番 サイナスリフト(上顎洞底挙上)によるインプラント埋入

BEFORE

AFTER
| 金額 | ¥485,000(税抜) |
| 期間 | 約3ヶ月 |
| リスク | オペから6週までは過大な力がかかると骨の2次安定が得られないことがあるため、注意を要する。 |
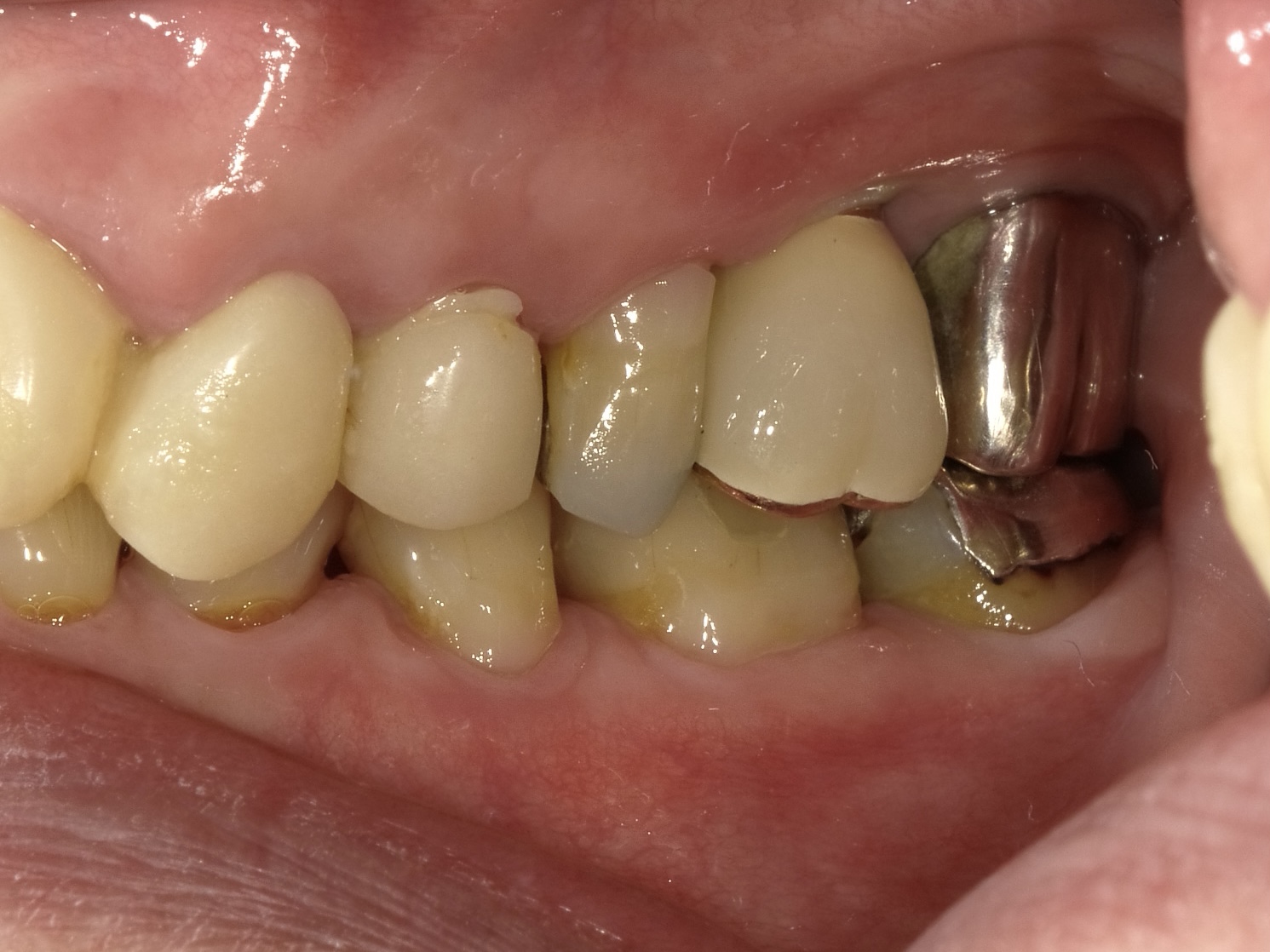
左上6番 抜歯即時インプラント埋入


BEFORE


AFTER
| 金額 | ¥450,000(税抜) |
| 期間 | 約3ヶ月 |
| リスク | オペから6週までは過大な力がかかると骨の2次安定が得られないことがあるため、注意を要する。 |

